Pasar al contenido principal
List
Menú
Menú de cuenta de usuario
Registro
Iniciar sesión
Main navigation header
Inicio
Atlas
Sesiones clínicas
Image-sharing Community
Miembros
Ruta de navegación
Inicio
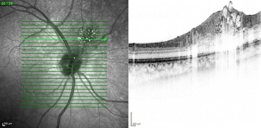
Tomografía y OCT-A
Hamartoma combinado de retina y EPR
OCT-A
Navegación principal
Inicio
Atlas
Sesiones clínicas
Image-sharing Community
Miembros